هل تتساءلين عن شكل تليف الرحم بالسونار؟ قد يكون تشخيص تليف الرحم مصدر قلق للعديد من النساء، لكن السونار بالموجات فوق الصوتية يوفر صورة واضحة ودقيقة لشكل الورم الليفي في الرحم. في المقال تعرفي على شكل الورم الليفي في الرحم بالسونار وأحدث طرق العلاج الفعالة.

ما هو شكل تليف الرحم بالسونار؟
يظهر تليف الرحم بالسونار على شكل كتل مستديرة أو غير منتظمة داخل عضلات الرحم، وغالبًا ما يكون بلون أغمق أو أفتح حسب الكثافة. يمكن علاج تليف الرحم باستخدام تقنية الأشعة التداخلية، وهي طريقة غير جراحية فعالة وآمنة.
شكل الورم الليفي في الرحم بالسونار: شرح مفصل
يُعد السونار (ultrasound) من الأدوات الأكثر استخدامًا في تشخيص الورم الليفي. يمكن لهذا الفحص غير المؤلم أن يعطي عادةً صورًا دقيقة توضح حجم وموقع التليفات داخل الرحم. عند إجراء فحص السونار (الموجات فوق الصوتية)، يقوم الطبيب بوضع مجس على البطن أو عنق الرحم لالتقاط صور ثنائية أو ثلاثية الأبعاد توضح شكل الرحم ووجود الأورام.
اورام الرحم تظهر في السونار ككتل مستديرة أو بيضاوية، ذات حدود واضحة ومتمايزة عن النسيج الطبيعي للرحم. يمكن أن تكون الألياف كبيرة أو صغيرة جدًا، وتتكون عادةً في جدار الرحم أو تجويف الرحم. في بعض الحالات، يمكن للتليفات أن تمتد إلى خارج الرحم، مما يجعلها أكثر تعقيدًا في التشخيص. كما يُظهر التصوير بالسونار توزيع الألياف الليفية بالرحم ويُساعد على تحديد مدى تأثيرها على بطانة الرحم، وهو أمر بالغ الأهمية إذا كانت المريضة تعاني من مشاكل مثل النزيف الغزير أو صعوبة الحمل.
علامات تليف الرحم بالسونار:
- زيادة سمك جدار الرحم.
- تشوه في تجويف الرحم.
- وجود تكلسات داخل التليف.
- تضخم الرحم أو تغير شكله.
- كتل مستديرة أو غير منتظمة الشكل.
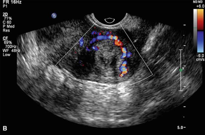
- تغيرات في تدفق الدم باستخدام السونار الملون (Doppler).
أنواع السونار المستخدم في تشخيص تليف الرحم

- السونار عبر البطن: وهو الأكثر شيوعًا، يتم تمرير المجس على البطن للحصول على صور للرحم والأعضاء المحيطة. يعتبر هذا النوع من التصوير مفيدًا لرؤية الأورام الكبيرة التي تنمو خارج جدار الرحم.
- سونار عبر المهبل: هذا النوع من التصوير يوفر صورًا أدق، خاصة للتليفات الصغيرة أو التي تنمو داخل تجويف الرحم. يتم وضع المجس داخل المهبل، مما يُتيح للطبيب رؤية أكثر وضوحًا لتفاصيل الرحم وبطانته.
- التصوير ثلاثي الأبعاد: يمكن أن يقدم هذا الفحص صورة أوضح وأكثر تفصيلًا عن شكل وحجم الألياف لرحمية، ما يساعد في تحديد تأثيرها على الرحم.
الأعراض المرتبطة بتليف الرحم
تختلف اعراض تليف الرحم من امرأة لأخرى، وقد لا تظهر أي أعراض في بعض الحالات. ومع ذلك، تشمل الأعراض الشائعة:
- ألم في الحوض أو أسفل الظهر.
- نزيف غزير خلال الدورة الشهرية.
- زيادة في حجم البطن أو الشعور بالامتلاء.
- مشاكل في الحمل أو صعوبة في الإنجاب.
- الشعور بضغط على المثانة أو الأمعاء، مما قد يسبب تكرار التبول أو الإمساك.
في حالة ظهور هذه الأعراض، يُوصى باللجوء إلى الفحص بالسونار لتشخيص الحالة.
دور السونار في تحديد خطة العلاج
بعد إجراء السونار، يقوم الطبيب بتقييم حجم وموقع الأورام الليفية ومدى تأثيرها على بطانة الرحم والأعضاء المجاورة. بناءً على النتائج، يحدد الطبيب العلاج المناسب. في بعض الحالات، قد تكون المراقبة فقط هي الخيار الأمثل، خاصة إذا كانت الأورام صغيرة ولا تسبب أعراضًا مزعجة. ومع ذلك، إذا كانت الأعراض مزعجة أو إذا كانت الأورام الليفية تؤثر على القدرة على الإنجاب، فقد يكون العلاج ضروريًا.
علاج تليف الرحم باستخدام قسطرة الرحم
من بين الأساليب الحديثة والفعالة لعلاج تليفات الرحم هي تقنية قسطرة الرحم أو الانصمام الرحمي التي يقوم بها dr samir abdelghaffar، وهي تقنية تعتمد على إغلاق الأوعية الدموية التي تغذي اورام الرحم الليفية باستخدام مواد خاصة، مما يؤدي إلى تقليص حجمها واختفائها بمرور الوقت.
كيف يتم إجراء قسطرة الرحم؟
يتم هذا العلاج عن طريق إدخال قسطرة صغيرة عبر شريان الفخذ وصولًا إلى الشريان الذي يغذي الورم الليفي في الرحم. باستخدام مواد خاصة، يتم سد الشريان، مما يمنع تدفق الدم إلى الألياف الليفية، وبالتالي تموت هذه الألياف تدريجيًا وتقلص في الحجم. يعتبر هذا الإجراء غير جراحي، ويتميز بأنه لا يتطلب شقوقًا كبيرة مثل العمليات الجراحية التقليدية.
مميزات علاج تليف الرحم بالقسطرة:
- لا يتطلب تخديرًا عامًا.
- إجراء غير جراحي، مما يقلل من فترة التعافي.
- الحفاظ على الرحم والقدرة على الحمل في المستقبل.
- نسبة نجاح عالية في التخلص من الأعراض المرتبطة بالتليفات.
متى يجب التفكير في علاج قسطرة الرحم؟
إذا كنت تعانين من أي من الأعراض المذكورة سابقًا، أو إذا كانت اورام الرحم الليفية تؤثر على حياتك اليومية أو فرص الحمل، فقد يكون الوقت قد حان للتفكير في علاج قسطرة الرحم. هذه التقنية تعد خيارًا ممتازًا للنساء اللاتي يرغبن في الحفاظ على الرحم وتجنب الجراحة التقليدية.
أهمية المتابعة مع الطبيب المتخصص
إذا كنت تشعرين بأي من الأعراض المتعلقة بالتليفات الرحمية أو ترغبين في فحص السونار للاطمئنان على صحتك، فلا تترددي في استشارة الدكتور سمير عبد الغفار، أحد رواد الأشعة التداخلية في مصر وبريطانيا. بفضل خبرته الواسعة واستخدامه لأحدث التقنيات، يمكنك الحصول على التشخيص الدقيق والعلاج الفعّال دون الحاجة إلى التدخلات الجراحية الكبرى.
☑️ كيس دموي على المبيض: كيفية العلاج بدون جراحة؟
أسباب تليف الرحم عند المتزوجات
الأسباب المحتملة تشمل:
- الهرمونات (الاستروجين والبروجستيرون): تزيد مستويات هذه الهرمونات بعد الزواج (خاصة مع انتظام العلاقة الزوجية أو حدوث الحمل)، مما قد يحفز نمو الأورام الليفية.
- العوامل الوراثية: لو في تاريخ عائلي لتليفات الرحم (الأم أو الخالات)، فاحتمالية الإصابة تكون أعلى.
- الوزن الزائد أو السمنة: الدهون الزائدة ترفع من إنتاج الإستروجين، وهو عامل رئيسي في نمو التليفات.
- قلة النشاط البدني: قلة الرياضة مرتبطة بزيادة احتمالية الإصابة بأمراض الرحم، ومنها التليفات.
- التوتر المزمن: التوتر قد يؤثر على التوازن الهرموني في الجسم، ويزيد من فرص نمو الأورام الليفية.
- التغذية غير المتوازنة: كثرة تناول اللحوم الحمراء والدهون المشبعة، مع قلة تناول الخضروات والألياف، قد يكون له دور.
- تأخر الإنجاب: بعض الدراسات أشارت إلى أن تأخر الحمل أو عدم الحمل قد يرتبط بزيادة احتمال ظهور التليفات، ولكن ليس السبب الرئيسي.
الأسئلة الشائعة حول شكل تليف الرحم بالسونار
هل تليف الرحم يعتبر ورم؟
نعم، تليف الرحم يُعدّ ورمًا، ولكنه ورم حميد. هذا يعني أنه غير سرطاني ولا ينتشر إلى أجزاء أخرى من الجسم. الأورام الليفية لا تشكل عادةً خطرًا كبيرًا على الصحة، لكنها قد تسبب مشاكل صحية في بعض الأحيان، مثل نزيف الحيض الغزير أو فترات طويلة، آلام في منطقة أسفل الظهر أو الحوض، وفي بعض الحالات النادرة قد تؤثر على القدرة على الحمل.
ما هو شكل تليف الرحم؟
ألياف الرحم قد تكون صغيرة جدًا أو كبيرة بحجم كرة صغيرة، وقد تظهر بأشكال مستديرة أو غير منتظمة. وتتميز أورام الرحم الليفية بأنها كتل من النسيج الليفي، وهي غالبًا محاطة بأنسجة ليفية كثيفة، وتكون ذات حدود واضحة في معظم الحالات. لحسن الحظ، معظم هذه الأورام حميدة وغير سرطانية، وتختلف في أماكن ظهورها وحجمها وأعراضها.
كيف أعرف أن لدي تليف في الرحم؟
يتم كشف الياف الرحم باستخدام تقنيات التصوير الطبي الحديثة التي تسمح بتحديد مكان وحجم الأورام. من أبرز هذه الوسائل:
- موجات فوق صوتية (Ultrasound): هذا الفحص يُعدّ الأكثر شيوعًا للكشف عن الأورام الليفية، حيث يستخدم الطبيب جهاز السونار لإجراء تصوير ثلاثي الأبعاد أو رباعي الأبعاد للرحم لتحديد وجود الأورام بوضوح.
- التصوير بالرنين المغناطيسي (MRI): يستخدم لتقديم صور دقيقة وواضحة لتحديد حجم ومكان الأورام الليفية، ويُعدّ مفيدًا في الحالات التي تكون فيها الأورام كبيرة أو تتواجد في أماكن معقدة.
- التصوير بالأشعة المقطعية (CT scan): يمكن استخدامه لتقديم مزيد من المعلومات حول حالة الرحم وتوزيع الأورام داخل الجسم.
- الفحص السريري: في بعض الأحيان، يمكن للطبيب تحديد وجود الأورام الليفية من خلال الفحص اليدوي، ولكن هذا لا يكون دقيقًا مثل وسائل التصوير.
- المنظار الرحمي: في بعض الحالات، يتم استخدام المنظار لفحص الرحم من الداخل والتأكد من عدم وجود تليفات أو أورام.
الاختيار بين هذه الوسائل يعتمد على حجم الأورام، أعراض المريضة، والتشخيص الدقيق المطلوب.
ما هو سبب ظهور الألياف في الرحم؟
لا يوجد سبب محدد لظهور التليف الرحمي، ولكن يعتقد أن العوامل الوراثية والتغيرات الهرمونية تلعب دورًا رئيسيًا. تليفات الرحم عادةً ما تحدث عندما يكون هناك زيادة في هرمون الإستروجين، وهو الهرمون الذي يعزز نمو بطانة الرحم. الأورام الليفية قد تتطور أيضًا بسبب عوامل مثل الحمل، حيث أن الرحم ينمو ليحتوي على الجنين، مما يزيد من فرصة ظهور كتل في جدار الرحم.
هل يمكن الشفاء من تليف الرحم؟
نعم، يمكن الشفاء من تليف الرحم، وهناك العديد من الخيارات العلاجية المتاحة التي تعتمد على حجم التليفات، موقعها، والأعراض التي تعاني منها المريضة. من بين هذه الخيارات:
- المراقبة: في الحالات التي لا تسبب فيها التليفات أعراضًا واضحة، يمكن أن يقرر الطبيب عدم التدخل والاكتفاء بالمراقبة.
- الأدوية: يمكن أن تُستخدم بعض الأدوية لتقليص حجم التليفات والتحكم في الأعراض مثل النزيف.
- العمليات الجراحية: تشمل استئصال الأورام الليفية أو استئصال الرحم بأكمله في الحالات الشديدة.
- قسطرة الرحم: وهي تقنية حديثة تعتمد على إيقاف تدفق الدم إلى التليفات مما يؤدي إلى تقلصها بشكل طبيعي بدون تدخل جراحي كبير.
هل يمكن التعايش مع تليف الرحم؟
نعم، يمكن التعايش مع تليف الرحم في العديد من الحالات، خاصة إذا كانت الألياف الليفية صغيرة ولا تسبب أعراضًا مزعجة. قد لا تحتاج جميع النساء المصابات بالتليف إلى علاج فوري، وقد يعتمد الأمر على حجم التليفات وتأثيرها على الحياة اليومية. يمكن اتباع نمط حياة صحي ومتابعة الكشف الدوري للتأكد من عدم نمو التليفات بشكل يسبب مشكلات صحية أكبر.
وأخيرا، ألياف الرحم هي أورام حميدة تظهر في الرحم ويمكن تشخيصها بسهولة باستخدام فحص السونار. من المهم متابعة الحالة مع طبيب متخصص لتحديد حجم الأورام وموقعها وتأثيرها على الرحم.
إذا كنت تعانين من أعراض مزعجة أو مشاكل في الإنجاب، فقد يكون علاج قسطرة الرحم هو الحل الأمثل. لا تترددي في التواصل مع الدكتور سمير عبد الغفار للحصول على استشارة طبية دقيقة وخطة علاج مخصصة لحالتك.





